Newsletter Subscribe
Enter your email address below and subscribe to our newsletter

Por Joaquín artiles ()
Santa Clara.- Como el carbón se ha convertido en un miembro más de la familia, uno trata por todos los medios de evitar hablar mal de él. Si me detengo a pensar, el carbón es más habitual que cualquier otro integrante del núcleo familiar. Vaya, si la familia es la célula básica de la sociedad, el carbón es algo así como el átomo básico, el eslabón fundamental, el caballo de los caballos.
No quiero hablar de sus defectos pues no sería éticamente correcto pero hoy me veo en la obligación de hacer público un asunto importante. Por todos es conocido cómo se cocina con carbón. Bueno… por todos no. Es una manera de hablar. Hay muchos que no tienen ni idea. Lo cierto es que gracias al Breaker Boy y su lista espuria de circuitos que promueven el terr0tism0, el carbón se usa para todo en mi casa.
Debido a la recurrencia, el humo de carbón se mantiene dentro del hogar por un espacio de tiempo que se acerca a las seis o siete horas. Hace meses que huele todo a carbón. Se ha adueñado de mi olfato y de mi paladar. El café, los frijoles, el refresco de paquetico, el pan de telera, el cocimiento para la gripe…
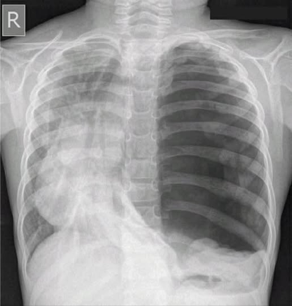
Los efectos ya se están presentando. Desde septiembre nos dimos cuenta que al toser echo humo por la boca. Soy una chimenea que camina y no es por el cigarro. El humo, como todo lo demás, huele a carbón. Ya preocupado, y en el decimosexto intento, logré hacerme una placa.
El especialista, al revisarla, me diagnosticó una enfermedad rarísima. Según él, tuvo que buscar información y pedir ayuda a varios colegas. La enfermedad se llama Neumotórax Carbónico Crónico. Se estima que con los gases resultantes de la quema, he acumulado en los pulmones más gas que el producido por Energas Matanzas. Algún partido tendré que sacarle a ésto.