Newsletter Subscribe
Enter your email address below and subscribe to our newsletter

Por Dr. Alexander Jesús Figueredo Izaguirre
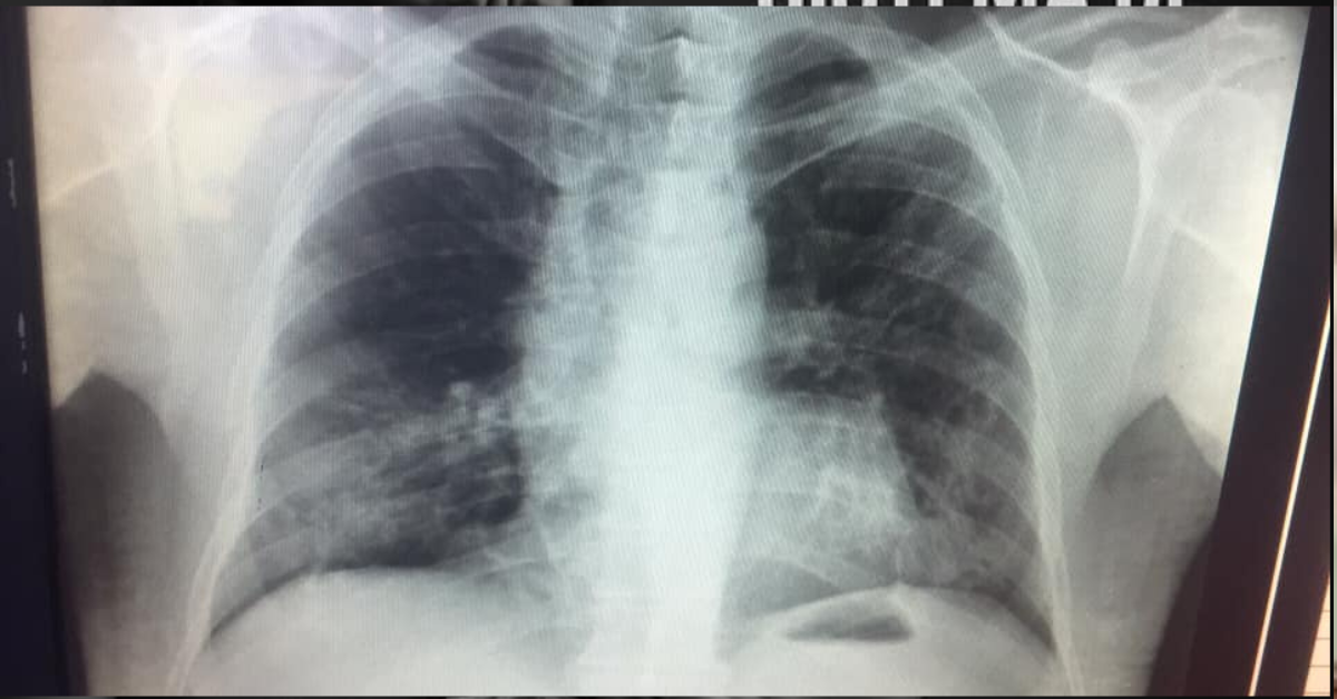
Houston.- «Yo tuve un caso parecido en La Habana con mi bebé de apenas 19 días. Lo estuve llevando una semana entera a Neonatología y siempre me decían lo mismo: que no tenía nada. Pero yo veía a mi hijo agitado, algo no estaba bien. Volví a insistir y le exigí a la doctora un rayos X. Me contestó con desdén: ‘Te lo voy a indicar porque ya llevas una semana viniendo, pero el niño no tiene nada’.»
¿El resultado? Neumonía, bronquiolitis y una lesión en el pulmón derecho. Entonces sí corrieron. El bebé fue directo para terapia intensiva.
Gracias a Dios, mi hijo hoy está bien. Pero ¿y si no hubiera insistido? ¿Y si me hubiera rendido? ¿Cuántas madres no tienen la oportunidad ni la voz para hacerlo?»
¿Cuántos niños más tienen que llegar a terapia para que el sistema reaccione? La soberbia, el desprecio al paciente y el abandono son parte del protocolo en la salud cubana.
Esta madre salvó a su hijo porque no se calló. Su voz hoy denuncia lo que muchos callan.